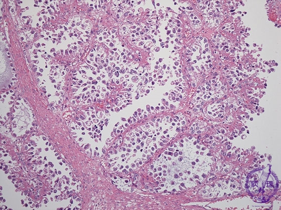
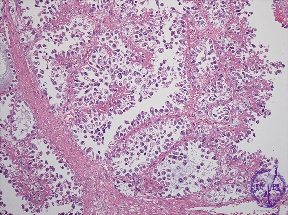
Histology (HE stain, intermediate power): Carcinoma cells with clear cytoplasm proliferated in papillary or tubular structure.

Click the image to see the enlarged image.

  • There is no guidance by arrows.