- 15.Female genital organs
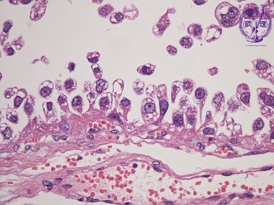
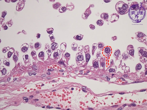
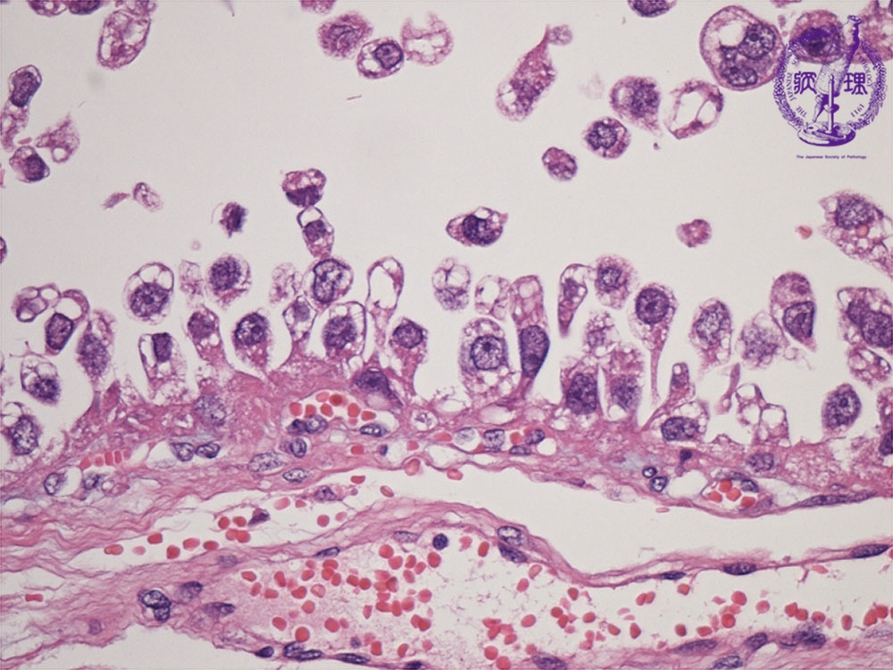
- (8)Clear cell adenocarcinoma of the ovary
Histology (HE stain, high power): Carcioma cells with clear cytoplasm proliferated showing hobnail patterns (nuclei is located at free end of cancer cell as if protruding, red dotted line). The term Hobnail originated from the resembalance between the shape of these cells and the nails with thick head for boot soles.
Click the image to see the enlarged image.














