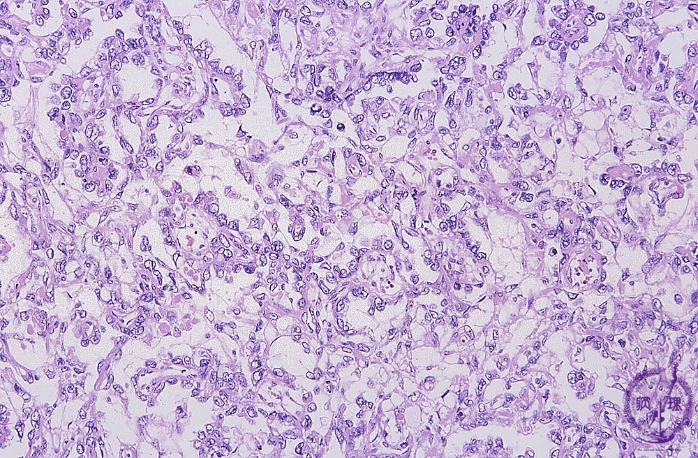
Histology (HE stain, intermediate power): Yolk sac tumor with endodermal sinus pattern. Tumor cells proliferates in net-like pattern.

Click the image to see the enlarged image.

  • There is no guidance by arrows.