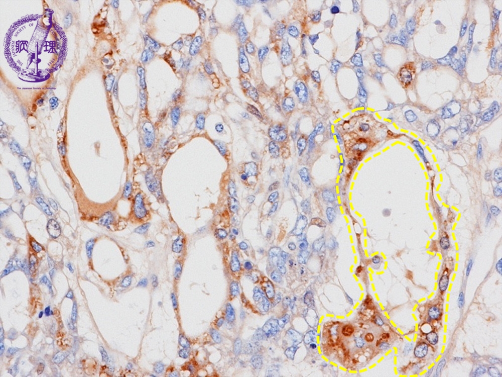
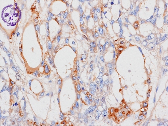
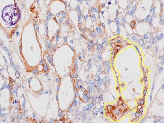
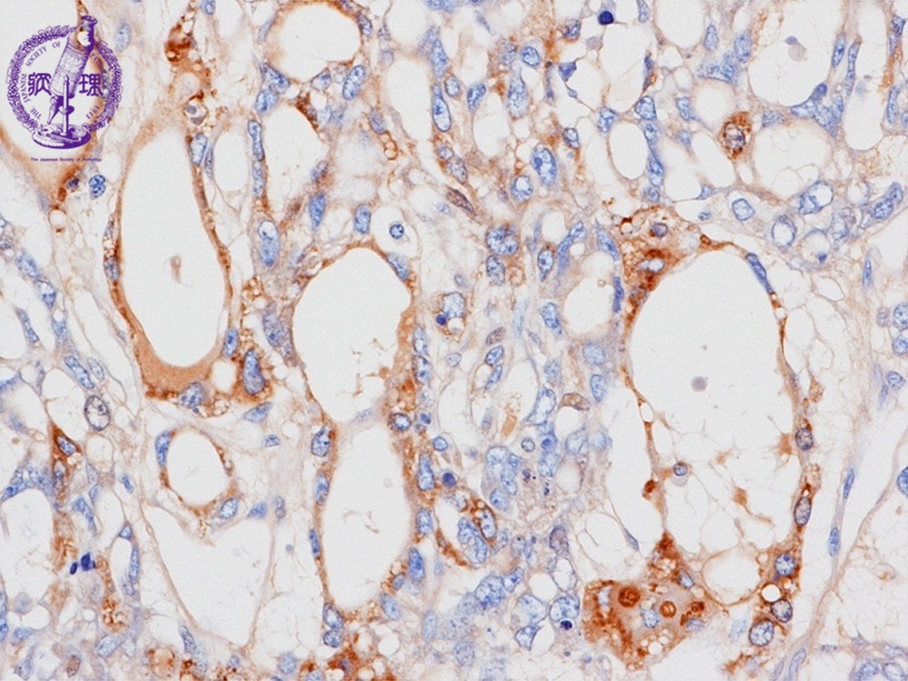
- 15.Female genital organs
- (11)Yolk sac tumor
Histology (immunohistochemistry, alpha-fetprotein (AFP), high power): Cytoplasm of tumor cell immunohistochemically positive for AFP (yellow dotted line).
Click the image to see the enlarged image.
Histology (immunohistochemistry, alpha-fetprotein (AFP), high power): Cytoplasm of tumor cell immunohistochemically positive for AFP (yellow dotted line).
Click the image to see the enlarged image.