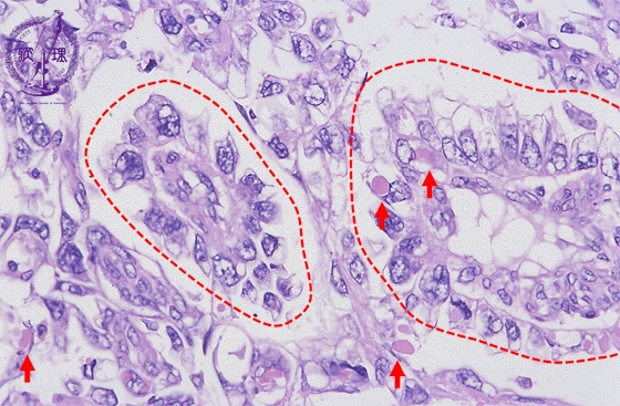
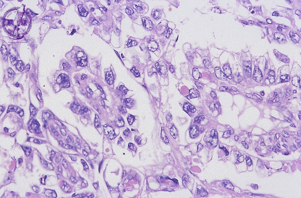
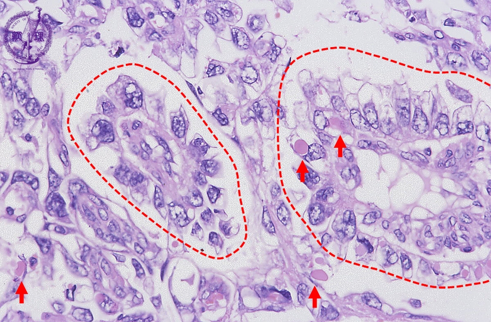
- 15.Female genital organs
- (11)Yolk sac tumor
Histology (HE stain, high power): Perivascular arrangement of tumor cells (Schiller-Duval body, red dotted line) and eosinophilic rounded structure called hyaline globules (red arrow).
Click the image to see the enlarged image.














