- 16.Male genital organs
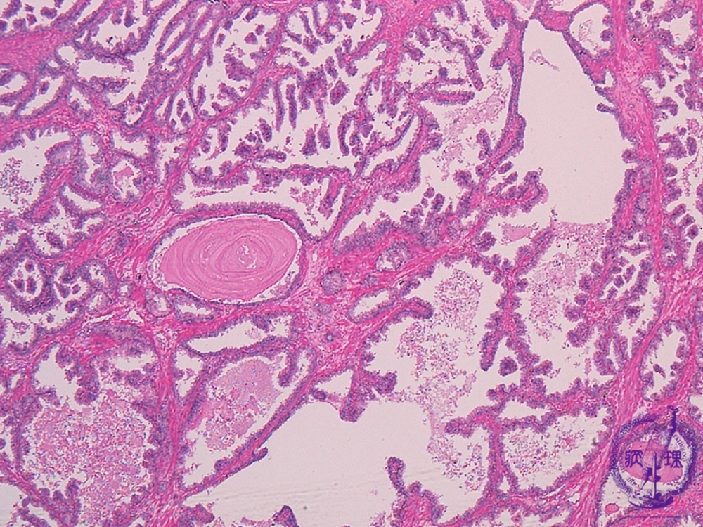
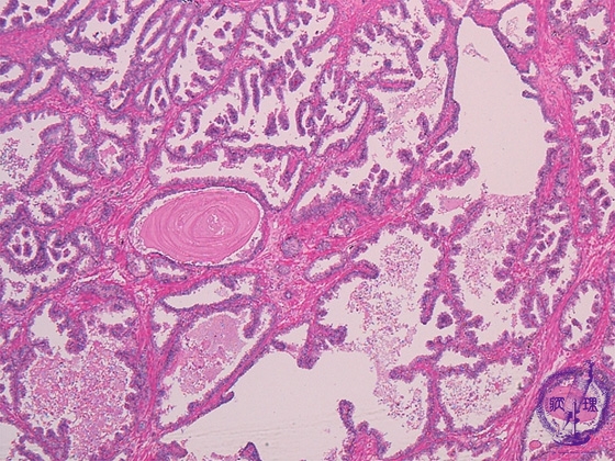
- (1)Benign prostatic hypertrophy
Histology (HE stain, low power): Glands with serrated epithelium proliferated in nodular pattern (glandular hyperplasia). In some cases, nodular hyperplasia of interstitial fibromuscular tissue (stromal hyperplasia) could be predominant, in other cases, both type of hyperplasia can be identified.
Click the image to see the enlarged image.












