- 16.Male genital organs
- (1)Benign prostatic hypertrophy
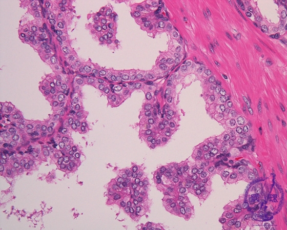
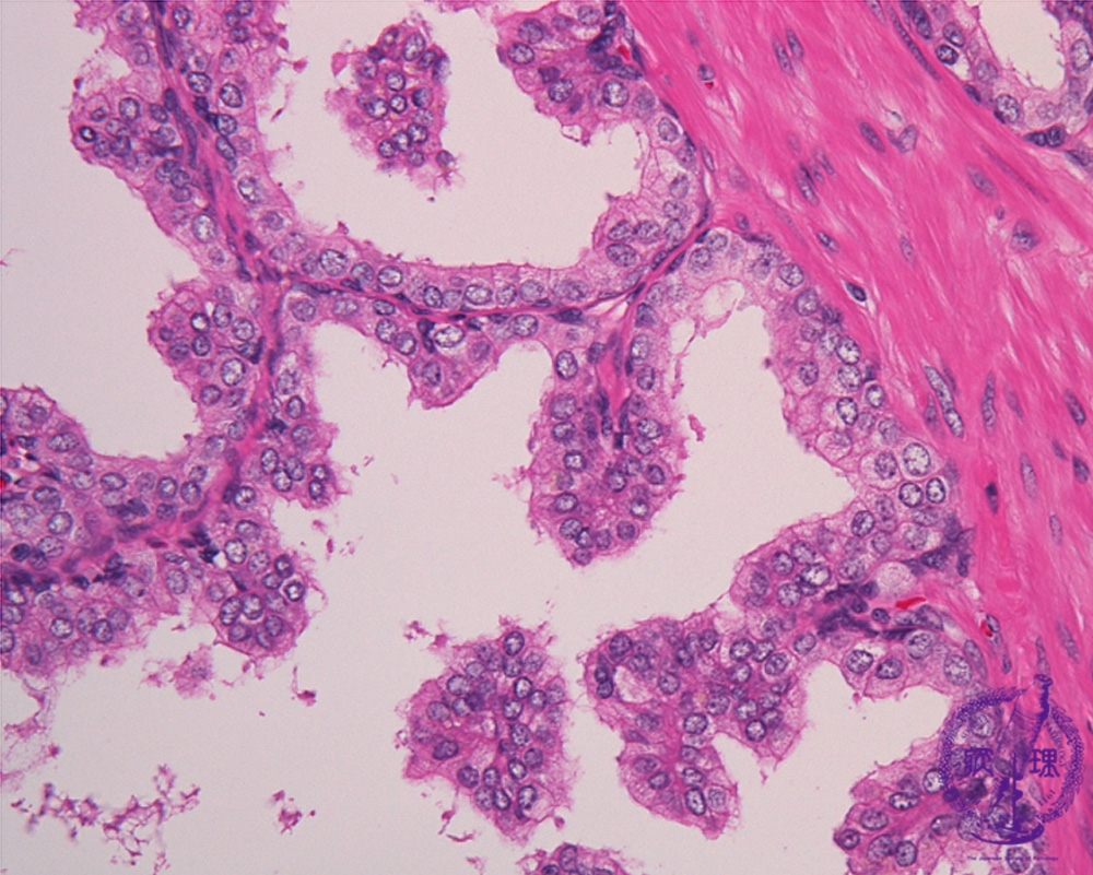
Histology (HE stain, high power): One of the most important features to differentiate prostatic carcinoma from hypertrophy is the structural layers of prostate epithelium. As shown here benign glands have a two layer structure consisting of inner secretory cells and outer basal cells.
Click the image to see the enlarged image.












