- 16.Male genital organs
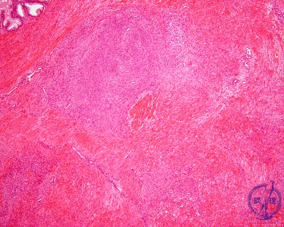
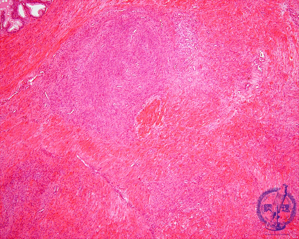
- ★(1)Benign prostatic hypertrophy
Histology (HE stain, low power): Nodular hyperplasia of interstitial fibromuscular tissue (stromal hyperplasia, yellow dotted line).Compare stromal hyperplasia with glandular hyperplasia.。
Click the image to see the enlarged image.















