- 17.Nervous system
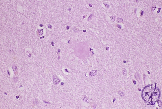
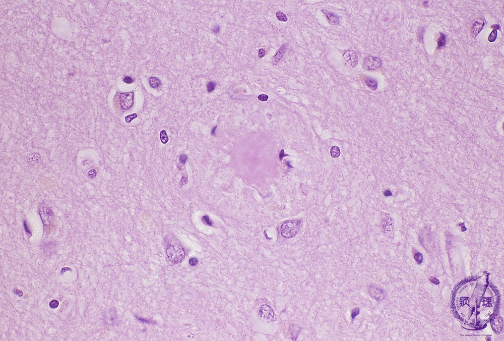
- ★(4)Alzheimer type dementia
Microscopic findings (H.E. high magnification): Senile plaques detected in the cerebral cortex (arrow). An eosinophilic amyloid core detected in the center of plaque, surrounded by dystrophic neurites.
Click the image to see the enlarged image.














