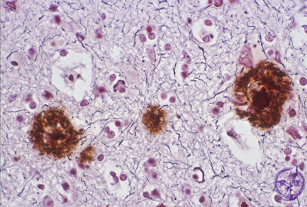
Microscopic findings (Bodian staining and amyloid protein immunistaining): Three various sized senile plaques detected which were immunihistochemically positive for -amyloid protein. Wavy fibrils were neuropil thread in silver staining.

Click the image to see the enlarged image.

  • There is no guidance by arrows.