- 17.Nervous system
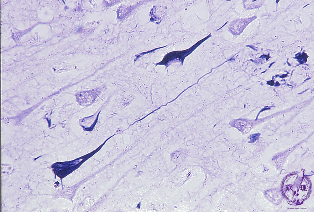
- ★(4)Alzheimer type dementia
Microscopic findings (Bielschowsky staining): Bielschowsky staining demonstrated a markedreactivity for Alzheimer’s neurofibrillary tangles within the neuronal cytoplasms and neurites.
Click the image to see the enlarged image.














