- 20.Skin
- ★(2)Vesiculobullous disease (Pemphigus vulgaris)
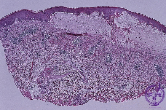
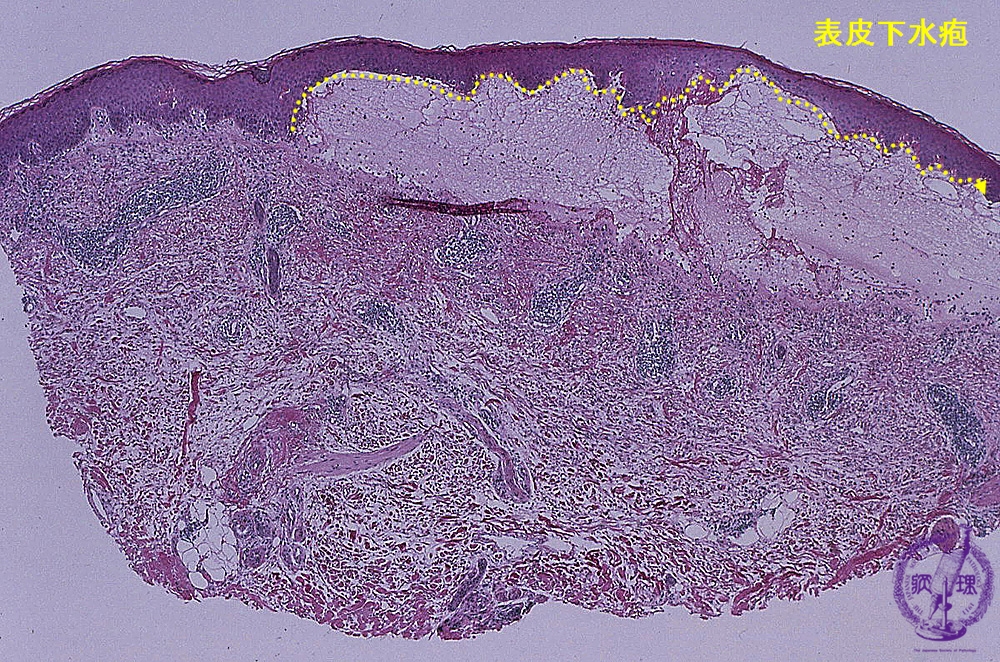
Microscopic image (Bullous pemphigoid): Subepidermal separation corresponds to the bullae. Biopsy taken from the edge of the bullae clearly shows the separation
Click the image to see the enlarged image.

















