- 20.Skin
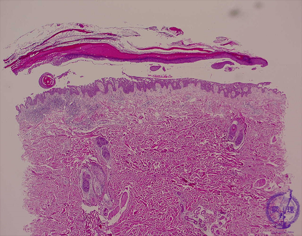
- (2)Vesiculobullous disease (Bullous pemphigoid)
Microscopic image (pemphigus vulgaris): Intraepidermal separation corresponds to the bullae.
Compare with subepidermal separation of bullous pemphigoid.
Click the image to see the enlarged image.














