- 20.Skin
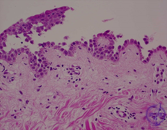
- ★(2)Vesiculobullous disease (Bullous pemphigoid)
Microscopic finding (pemphigus vulgaris): Residual epidermal basal cells just under the bullae suggest that bullae exists intraepidermally. Eosinophilic infiltration is not seen.
Click the image to see the enlarged image.

















