- 20.Skin
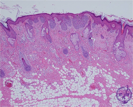
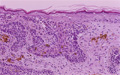
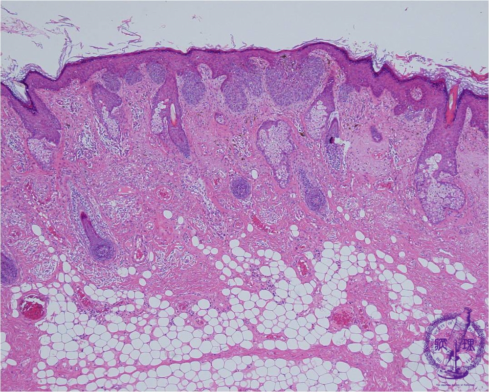
- ★(7)Basal cell carcinoma
Microscopic findings: Basal cell carcinoma is composed of cell types that have their origin in the fetal hair germ (trichoblast) and the cells in these tumors retain a resemblance to their cell of origin. . It is the most frequent skin malignancy, typically occurs on the sun-exposed areas. It is a locally invasive tumor and complete excision is curative. Metastatic progression is rare and if complete excision is achieved the tumor has a very good cure rate.
Click the image to see the enlarged image.













