- 20.Skin
- ★(7)Basal cell carcinoma
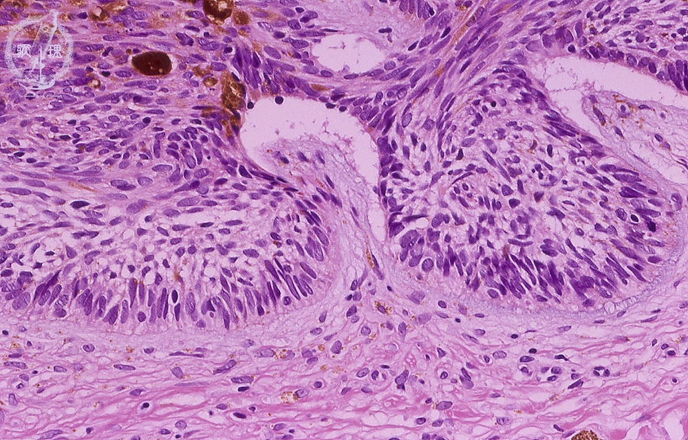
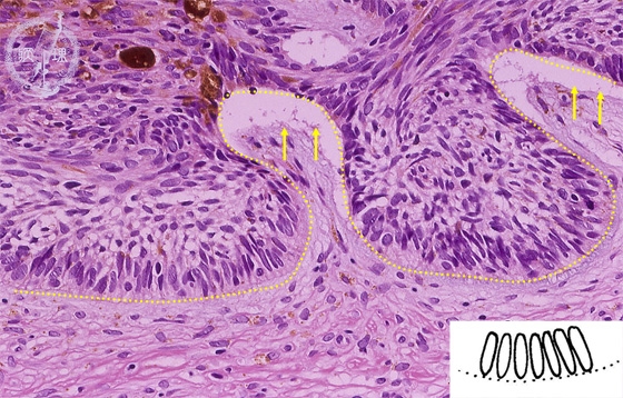
The nests of tumor cells show peripheral palisading. Clefts are also present at the edges with the dermis.
Click the image to see the enlarged image.
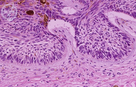
The nests of tumor cells show peripheral palisading. Clefts are also present at the edges with the dermis.
Click the image to see the enlarged image.