- 20.Skin
- ★(7)Basal cell carcinoma
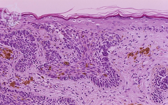
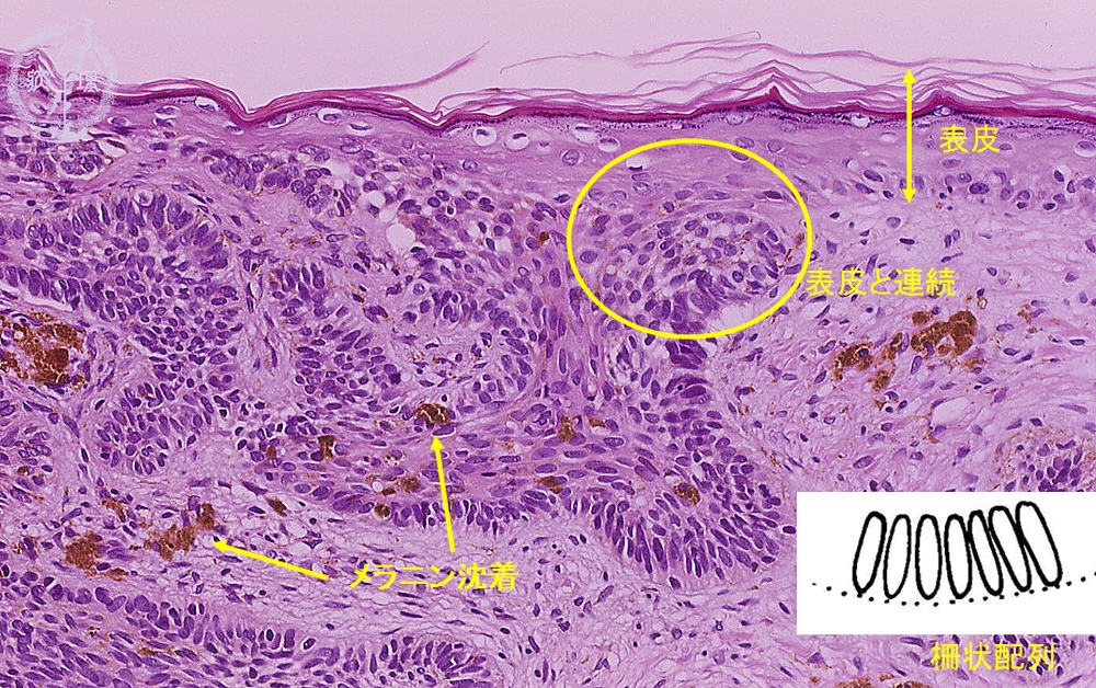
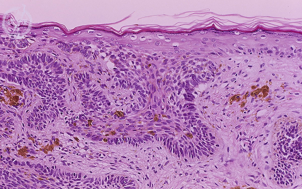
The tumor show buds attached to the epidermis. The tumor cells have oval nuclei and high nuclear to cytoplasmic ratio. The nests of tumor cells show peripheral palisading. Melanin depositions are also seen inside and near the nests.
Click the image to see the enlarged image.













