- 22.Pediatric pathology
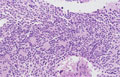
- ★(9)Peripheral neuroblastic tumors(poorly differentiated neuroblastoma)
Macro; The hemorrhagic, partially encapsulated tumor has displaced the kidney. On transection they are composed of soft, grey-tan tissue. Tumors have areas of necrosis, cystic softening and hemorrhage. Occasionally, foci of puncture and intra-tumoral calcification can be palpated
Click the image to see the enlarged image.














