- 22.Pediatric pathology
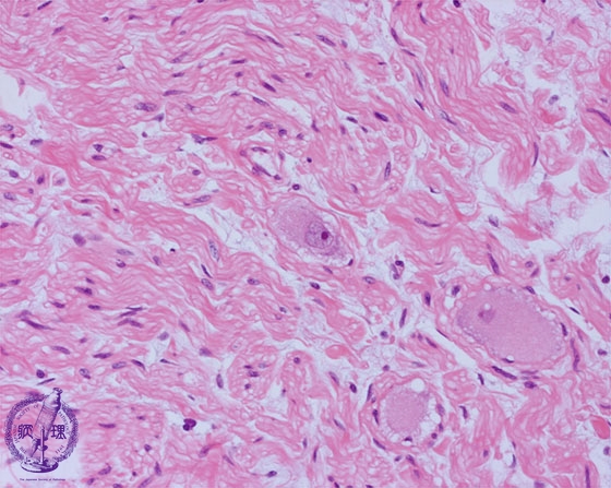
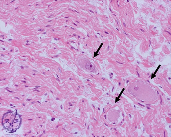
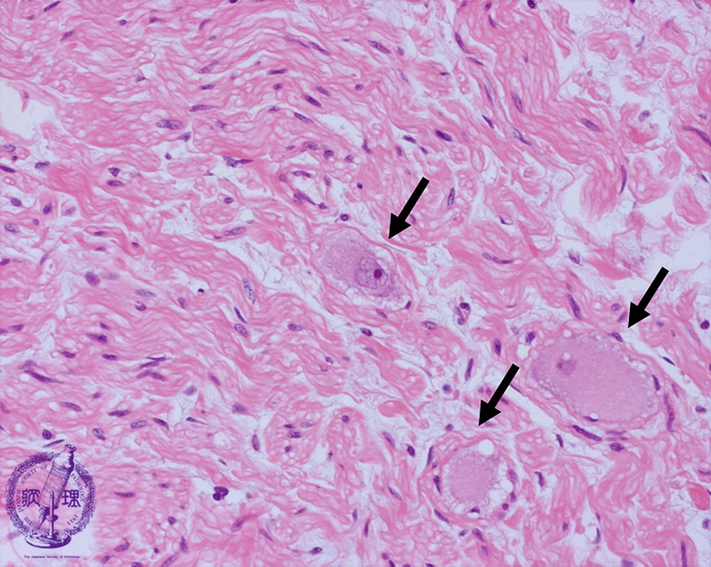
- ★(9)Peripheral neuroblastic tumors(ganglioneuroma)
Microscopic view; Ganglioneuroma. This tumor is composed of Schwannian stroma and large cells with vesicular nuclei and abundant eosinophilic cytoplasm, representing neoplastic ganglion cells. There are no primitive appearance cells.
Click the image to see the enlarged image.














