- 22.Pediatric pathology
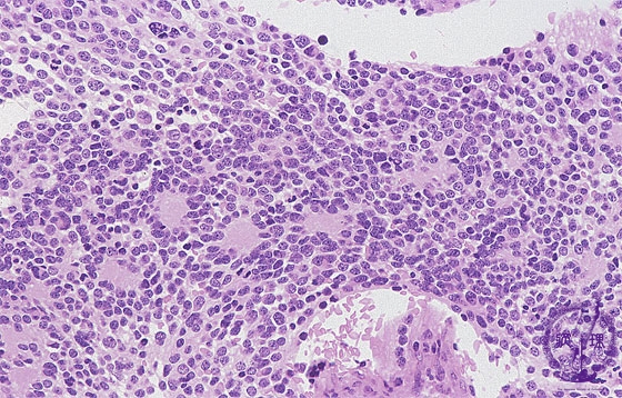
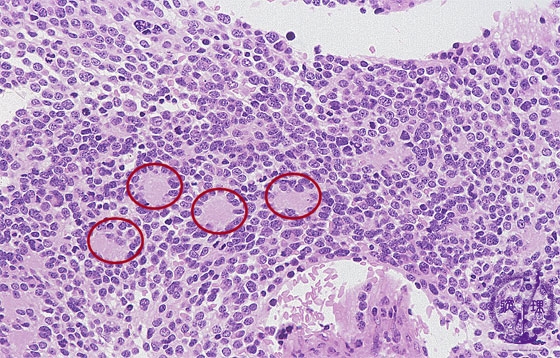
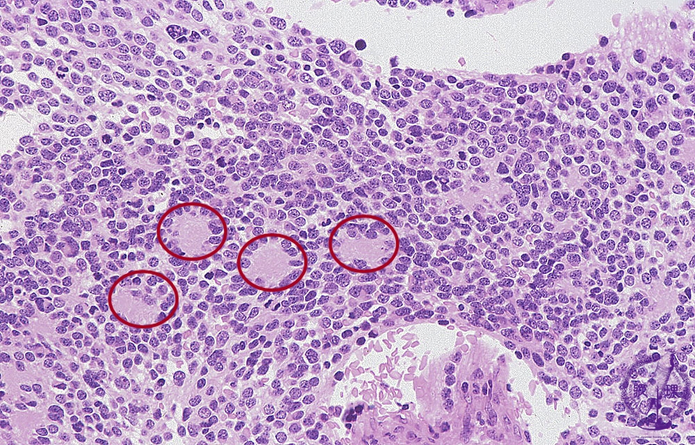
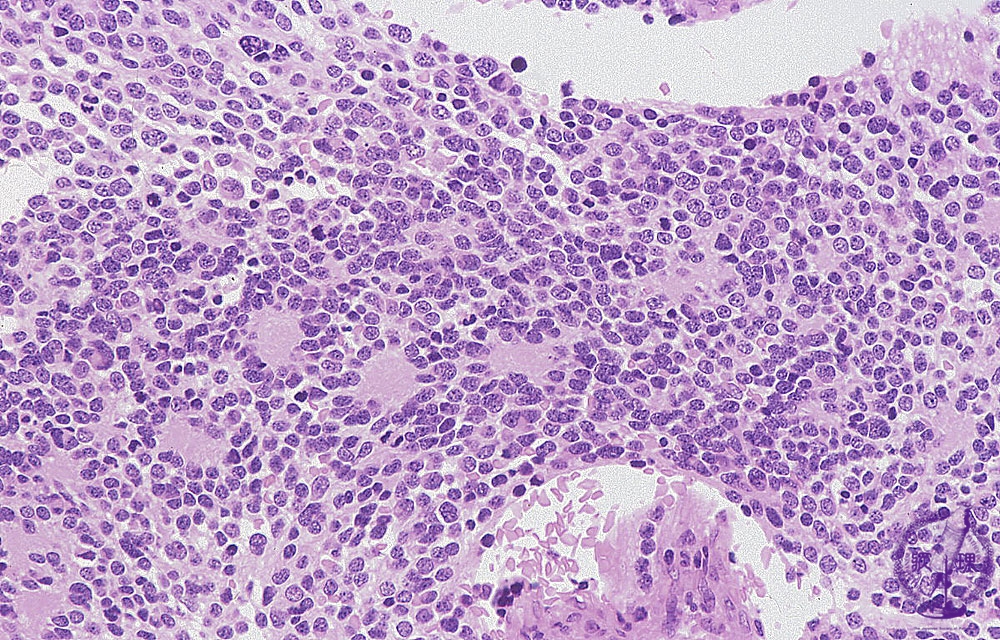
- ★(9)Peripheral neuroblastic tumors(poorly differentiated neuroblastoma)
Microscopic View; Small, primitive-appearing cells with dark nuclei, scant cytoplasm, high N/C ratio, and poorly defined cell borders growing in solid sheets. The tumor in composed of small cells embedded in a finely fibrillary matrix (neuropil) that corresponds to neuritic processes. Typically, rosettes (Homer-Wright pseudorosettes) can be found
Click the image to see the enlarged image.














