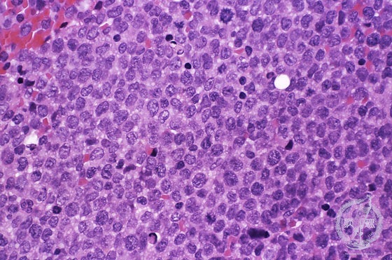
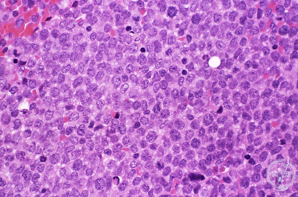
Microscopic image (H&E high power view): Diffuse proliferation of large myeloid blasts is found. These blasts have cytoplasmic granules. The same blasts resemble monoblasts with kidney-shaped nuclei.

Click the image to see the enlarged image.

  • There is no guidance by arrows.