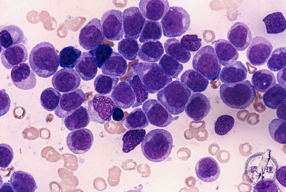
Microscopic image (marrow aspirates: Giemsa staining): The myeloblasts have delicate nuclear chromatin and folded nuclear membranes. The nuclei are not always kidney-shaped.

Click the image to see the enlarged image.

  • There is no guidance by arrows.