- 1.Bone marrow / Hematopoietic system
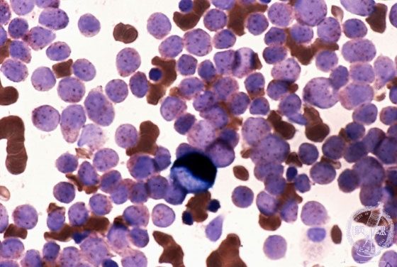
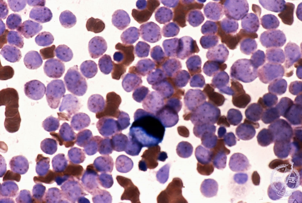
- ★(5) Acute myeloid leukemia(M5)
Microscopic image (marrow aspirates: Esterase-double staining): There are many monoblasts with fine and brown granules in the cytoplasm. There are a few myeloblasts with neutrophilic differentiation (blue).
(Compare to M2)
Click the image to see the enlarged image.














