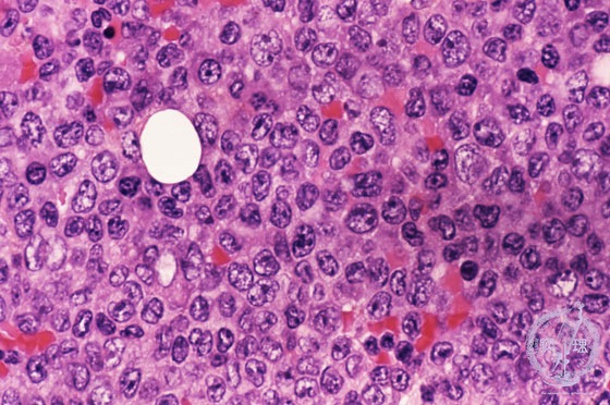
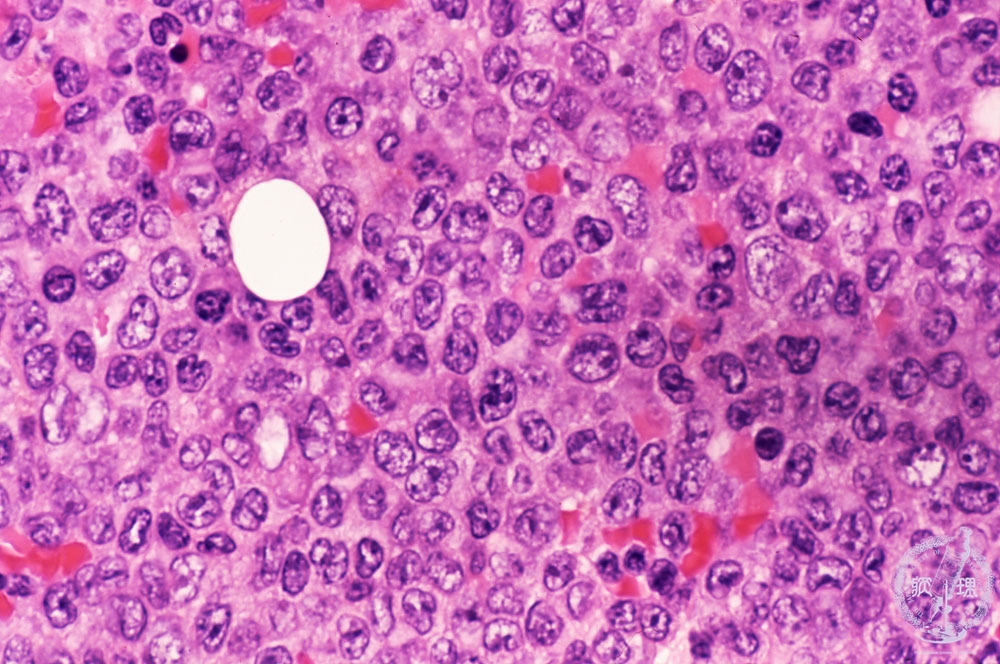
Microscopic image (H&E high power view): Myeloblasts composed of 95% of packed cells. Many of those have kidney-shaped nuclei.

Click the image to see the enlarged image.

  • There is no guidance by arrows.