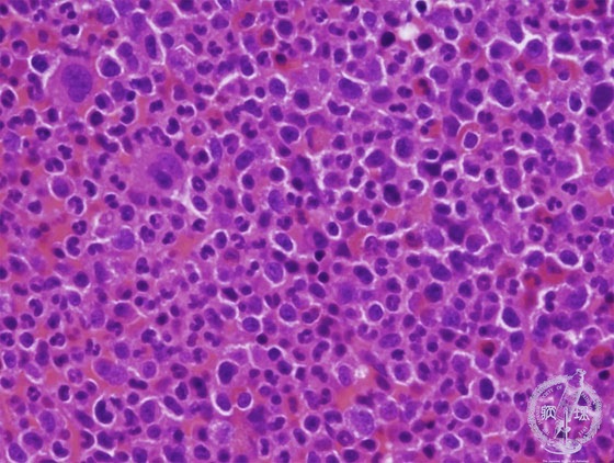
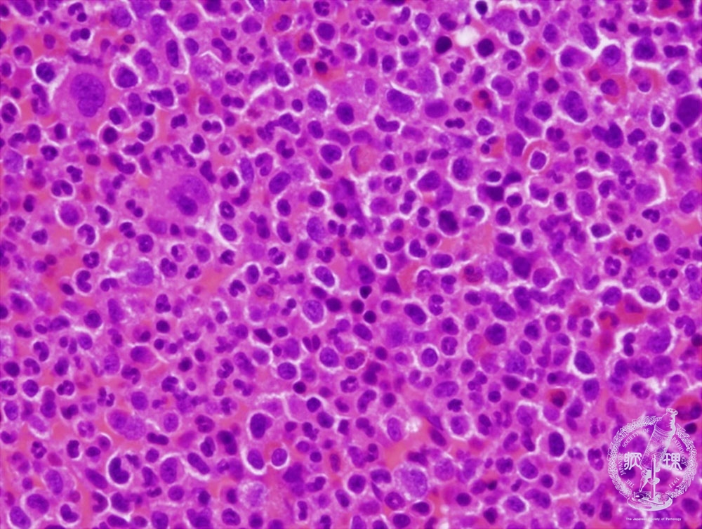
Microscopic image (H&E high power view): The marrow is markedly hypercellular with an increased number of granulocytes and megakaryocytes.

Click the image to see the enlarged image.

  • There is no guidance by arrows.