- 1.Bone marrow / Hematopoietic system
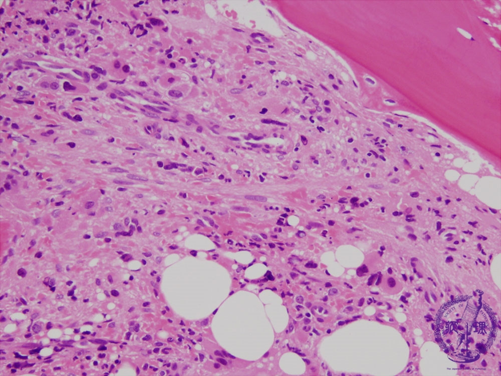
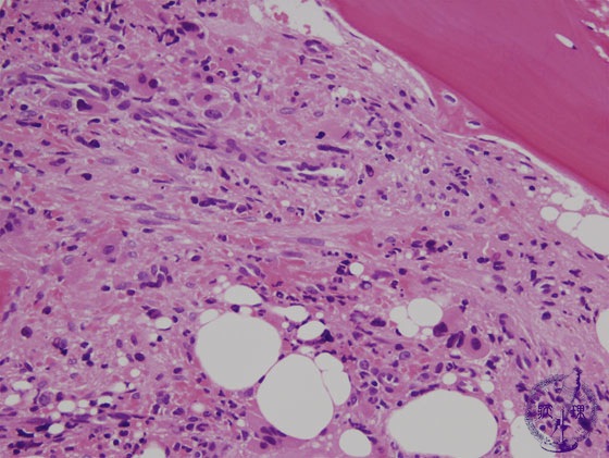
- (6) Myeloproliferative disorders (Polycythemia vera)
Microscopic image (H&E high power view): Fibroblasts are also proliferating in the hypercellular marrow. As with fibroblasts proliferation, marked deformity is observed in hematopoietic cells. Megakaryocytes are numerous. The pale pink fibrous tissue is found in the background.
Click the image to see the enlarged image.













