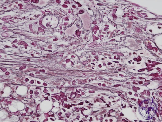
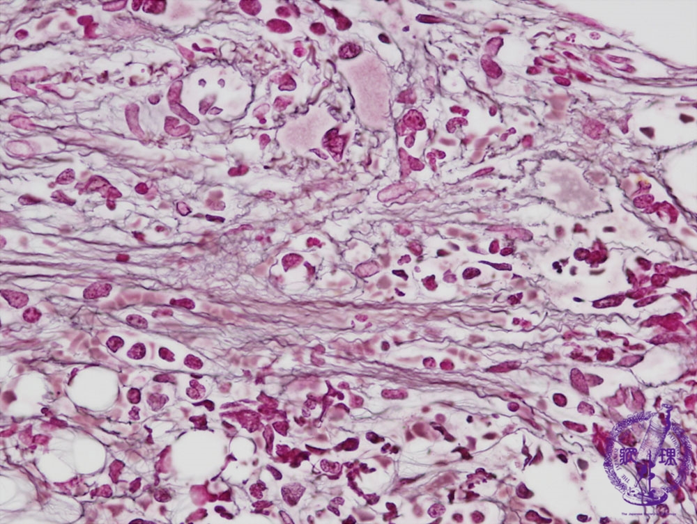
Microscopic image (reticulin stain, high power view): Black reticulin fibers are conspicuous in contrast with the normal marrow which rarely contains reticulin fibers.

Click the image to see the enlarged image.

  • There is no guidance by arrows.