- 1.Bone marrow / Hematopoietic system
- (6) Myeloproliferative disorders (Chronic myeloid leukemia)
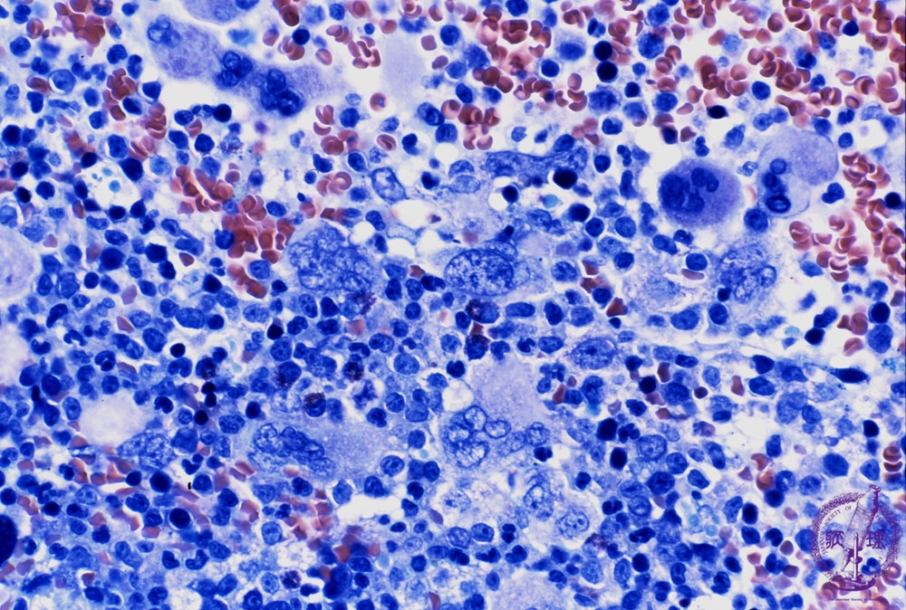
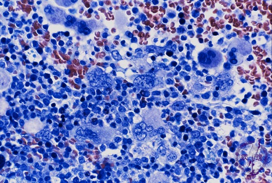
Microscopic image (marrow aspirates: Giemsa staining high power view): The marrow is markedly hypercellular with an increased number of granulocytes and megakaryocytes. In the chronic phase like depicted in this picture, marked proliferation of myeloblasts is occasionally seen.
Click the image to see the enlarged image.













