- 5.Lung, Pleura
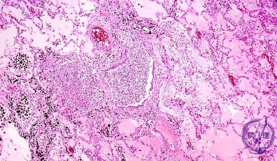
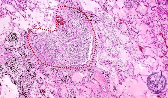
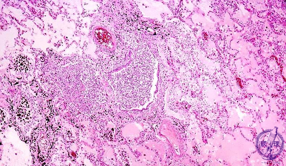
- ★(7)Bacterial pneumonia (bronchopneumonia)
Microscopic view (HE stain, low power view): The bronchiole is filled with purulent debris and surrounded by edema and an inflammatory infiltrate. Bronchial structure is obscured due to destruction of bronchial alveoli (dotted line).
Click the image to see the enlarged image.




















