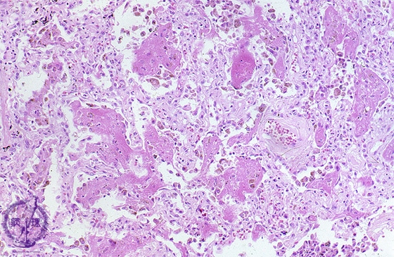
Microscopic view (HE stain, low power view): Prominent alveolar fibrin deposition with septal edema, congestion and a cellular infiltrate are seen. Note that, unlike in bronchopneumonia, alveolar structure is preserved.

Click the image to see the enlarged image.

  • There is no guidance by arrows.