- 5.Lung, Pleura
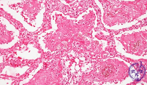
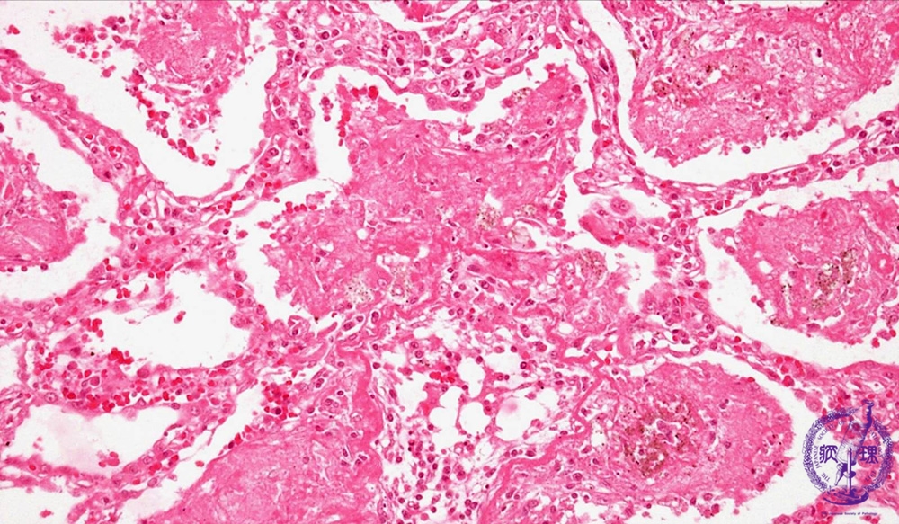
- ★(7)Bacterial pneumonia (lobar pneumonia)
Microscopic view (HE stain, high power view): Alveoli are filled with fibrin. Alveolar septa (dotted line) are congested and the lining epithelium shows reactive hyperplasia, but there is no alveolar destruction.
Click the image to see the enlarged image.




















