- 5.Lung, Pleura
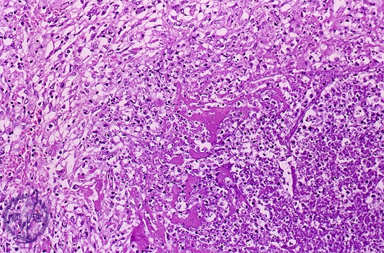
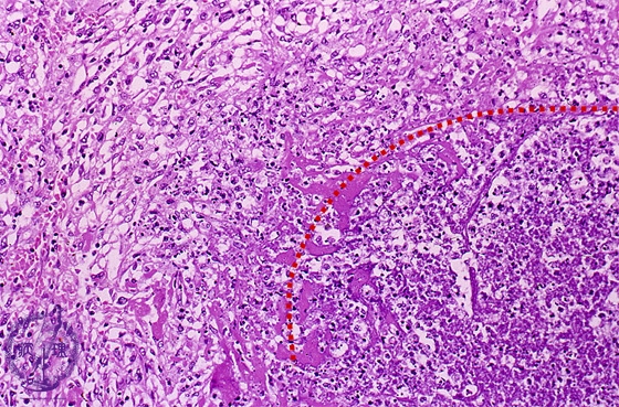
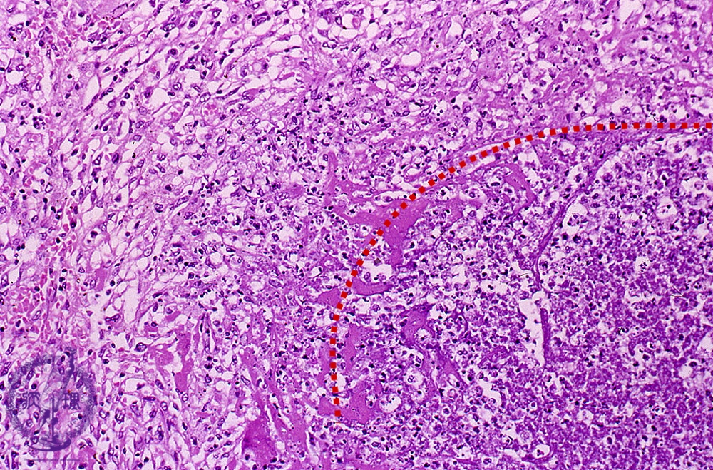
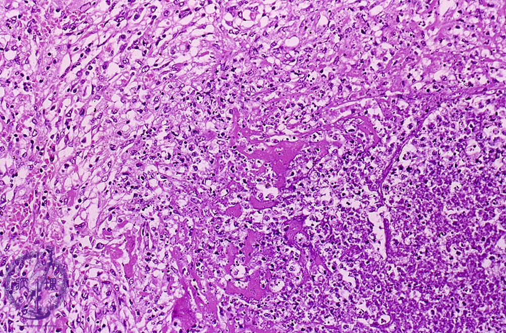
- ★(7)Bacterial pneumonia (lung abscess)
Microscopic view (HE stain, high power view): On the right, there is abscess composed of inflamed necrotic debris (dotted line) surrounded by granulation tissue (left). Granulation tissue consists of fibroblasts, inflammatory cells and capillaries.
Click the image to see the enlarged image.




















