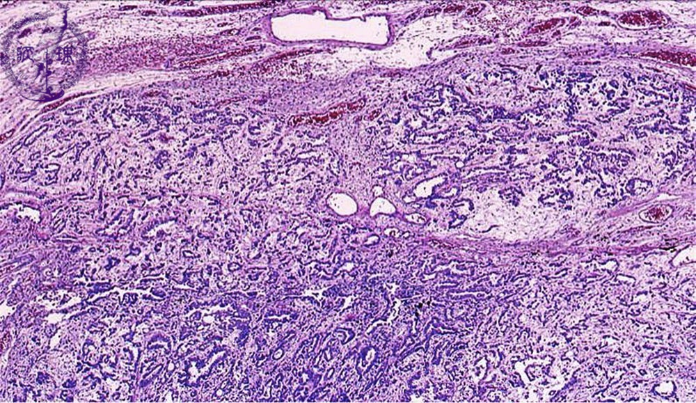
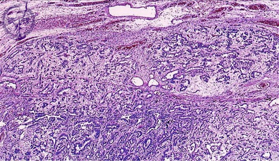
Microscopic view (HE stain, low power view): This mesothelioma has a tubulo-papillary structure with abundant stroma.

Click the image to see the enlarged image.

  • There is no guidance by arrows.