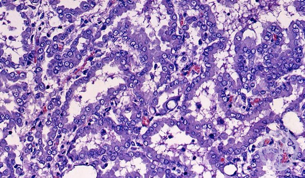
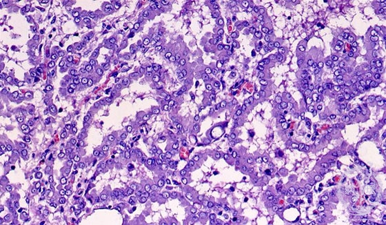
Microscopic view (HE stain, high power view): Mesothelioma cells have round nuclei and eosinophilic cytoplasm. Differentiation from lung adenocarcinoma is sometimes difficult.

Click the image to see the enlarged image.

  • There is no guidance by arrows.