- 5.Lung, Pleura
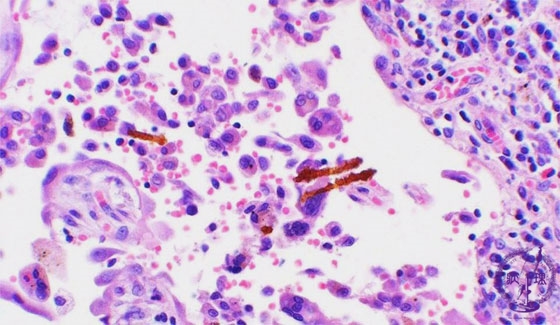
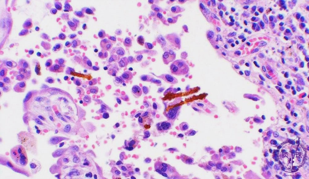
- ★(19)Pleural mesothelioma
Microscopic view (HE stain, low power view): Mesothelioma is related to asbestos exposure. Asbestos bodies (arrow) are brown-colored on HE stain due to iron-containing proteins which coat the asbestos fibers.
Click the image to see the enlarged image.















