- 5.Lung, Pleura
- ★(19)Pleural mesothelioma
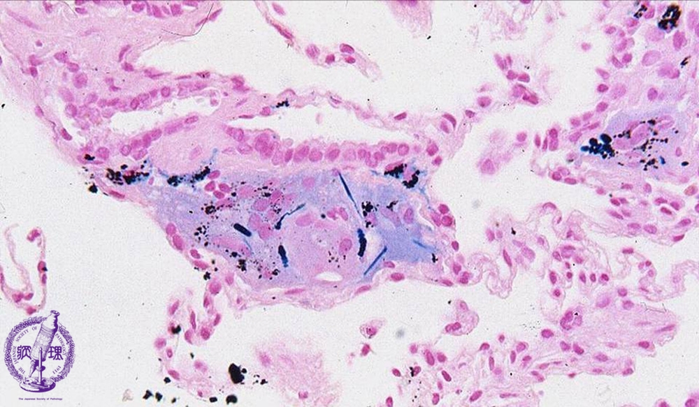
Microscopic view (Iron stain, high power view): By using iron-stain, asbestos bodies are easy to detect due to their blue color.
Click the image to see the enlarged image.
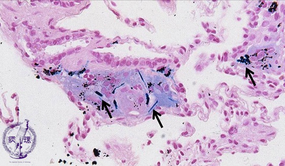
Microscopic view (Iron stain, high power view): By using iron-stain, asbestos bodies are easy to detect due to their blue color.
Click the image to see the enlarged image.