- 6.Mediastinum
- (1)Thymoma
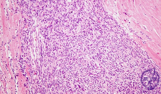
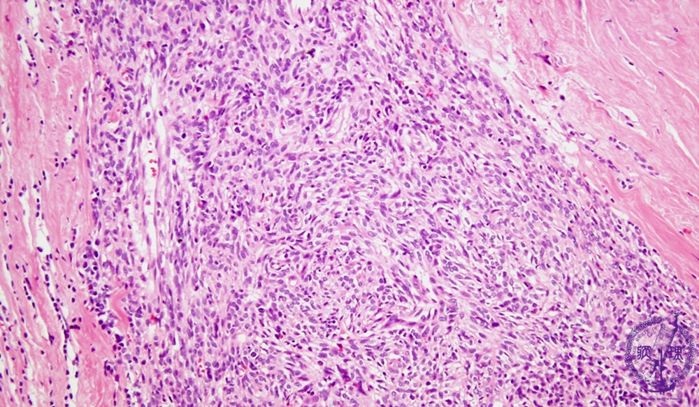
Microscopic view (low power view): WHO (World Health Organization) type A thymoma. WHO type A thymoma is an epithelial neoplasm despite having a mesenchymal appearance demonstrated by spindle cells arranged in a storiform pattern. This subtype has few or no lymphocytes.
Click the image to see the enlarged image.













