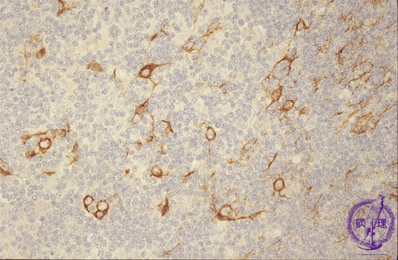
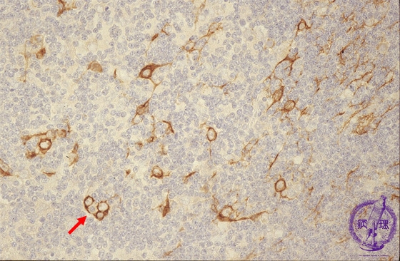
- 6.Mediastinum
- ★(1)Thymoma
Microscopic view (high power view; immunostaining for cytokeratin): Type B1 thymoma (mixed thymoma) (WHO classification). Tumor cells immunoreactive for cytokeratin (arrow) are sparingly present and surrounded by more plentiful lymphocytes.
Click the image to see the enlarged image.
















