- 6.Mediastinum
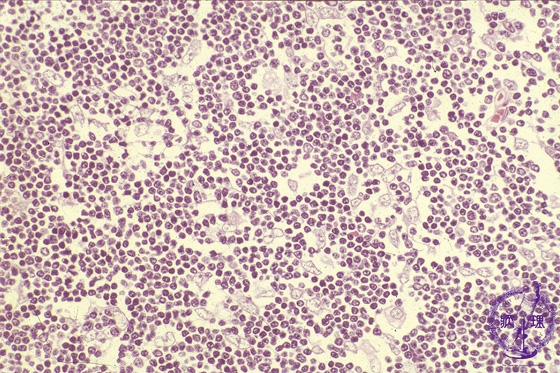
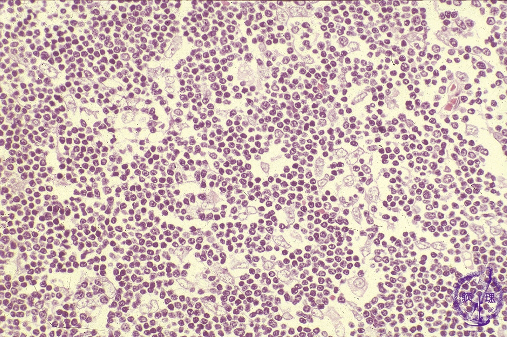
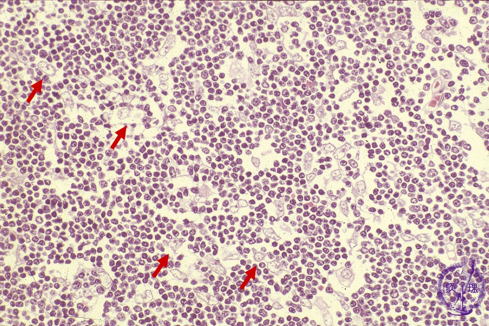
- ★(1)Thymoma
Microscopic view (intermediate power view): WHO type B1 thymoma (lymphocyte-rich thymoma). Tumor cells are scattered infrequently amongst more abundant lymphocytes and have large, vesicular nuclei 3 times larger in diameter than the latter cells (arrow).
Click the image to see the enlarged image.
















