- 6.Mediastinum
- ★(1)Thymoma
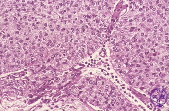
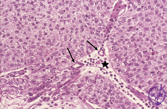
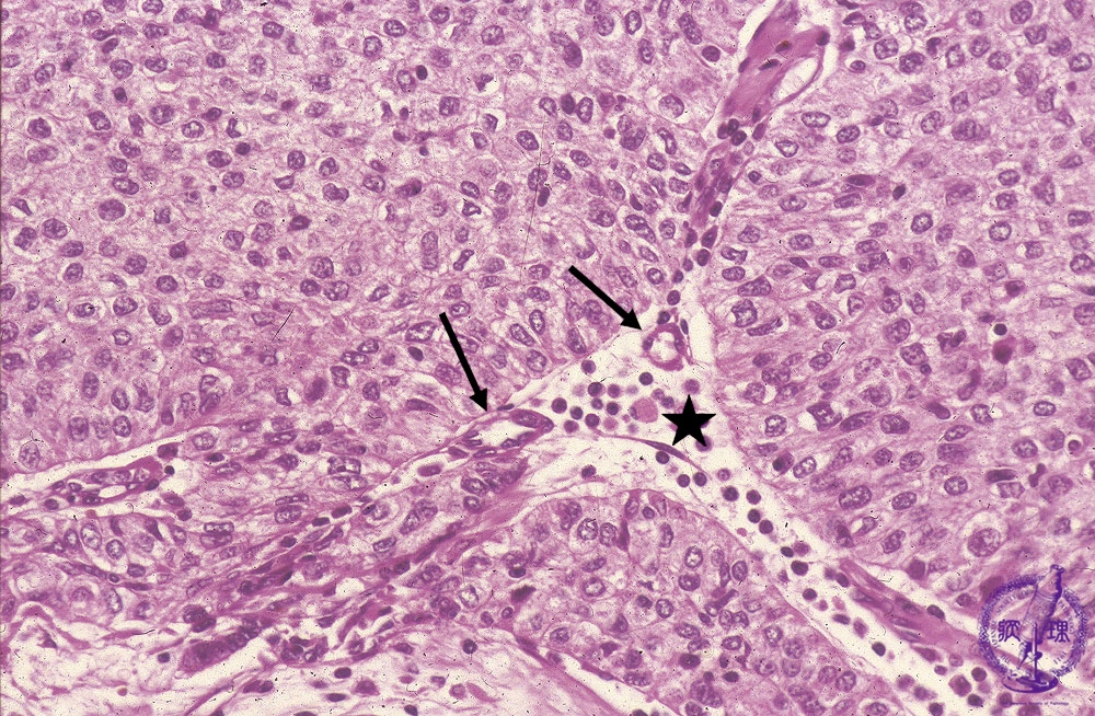
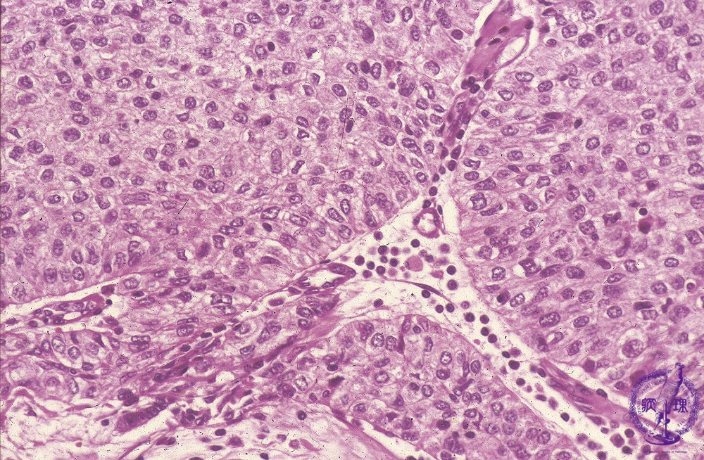
Microscopic view (high power view): Type B3 thymoma (epithelial thymoma) (WHO classification). Large, polygonal epithelial tumor cells grow in sheets without infiltrating lymphocytes. The perivascular spaces (★) seen centrally surrounding small capillaries (arrow) are a finding specific to thymoma.
Click the image to see the enlarged image.
















