- 7.Oral, Salivary gland
- (3)Oral mucosal diseases(★Leukoplakia:epithelial hyperkeratosis)
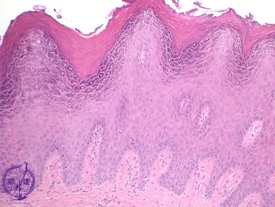
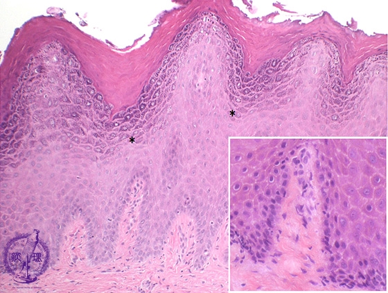
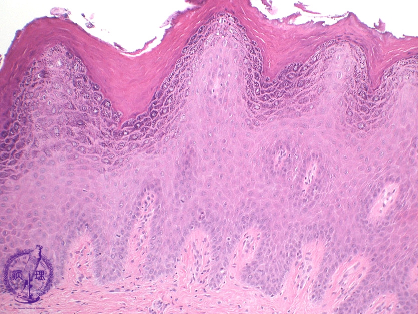
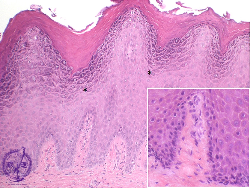
Microscopic finding (HE stain, intermediate and high-power view):The mucosa exhibits marked hyperkeratosis and hypergranulosis within the epidermis(*) but there is no cytological or architectural atypia.
Click the image to see the enlarged image.
















