- 7.Oral, Salivary gland
- (3)Oral mucosal diseases(★Lichen planus) >
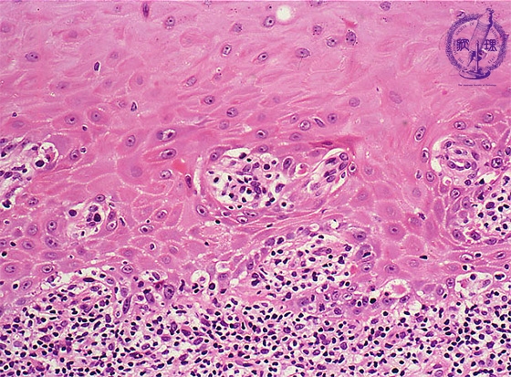
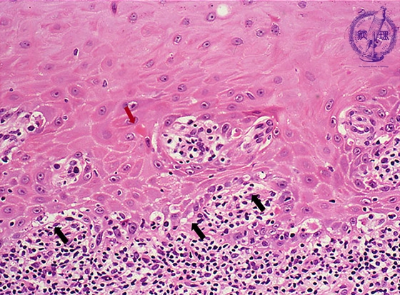
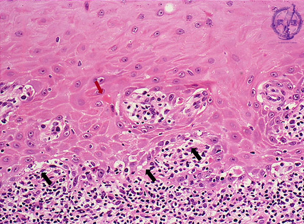
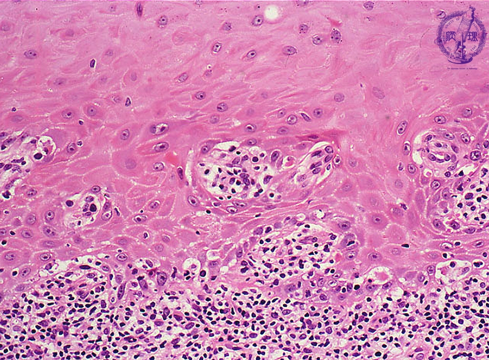
Microscopic finding (HE stain, high-power view):The basal cells show vacuolar change, or hydropic (liquefaction) degeneration (black arrows) and there is cleft formation between the epidermis and papillary dermis. Colloid bodies (degenerating keratinocytes) (red arrow) are seen in the epithelium.
Click the image to see the enlarged image.
















