- 7.Oral, Salivary gland
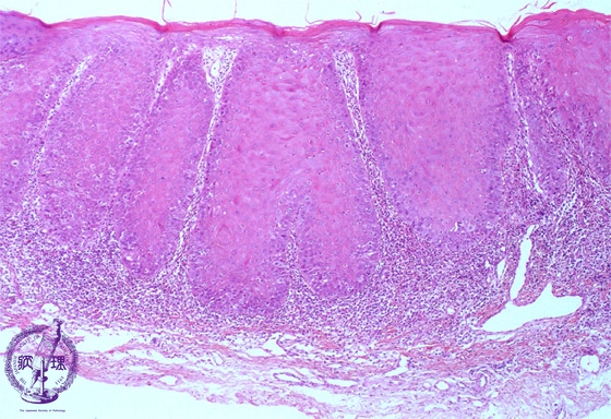
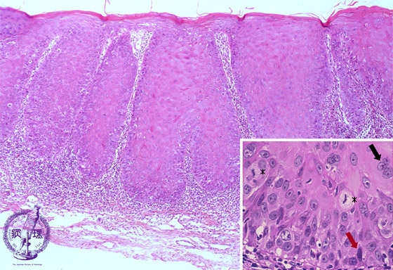
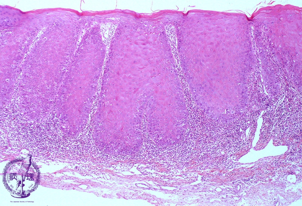
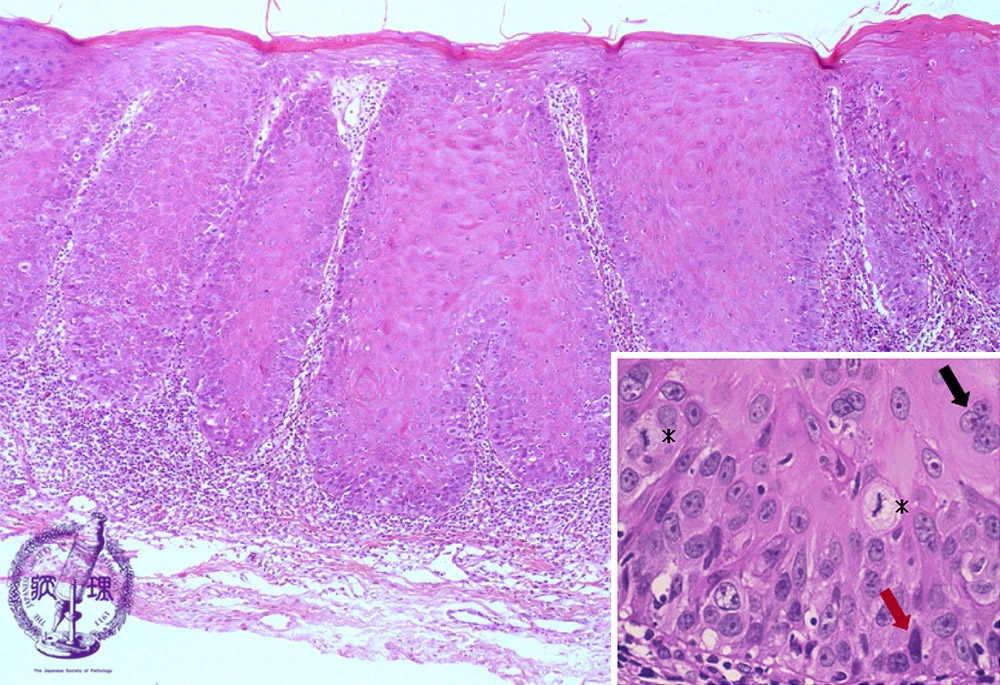
- (3)Oral mucosal diseases(★Leukoplakia:epithelial severe dysplasia)
Microscopic finding (HE stain, intermediate and high-power view): The epidermis is hyperplastic with elongated, drop-shaped rete ridges. Severe cytological atypia is prominent as demonstrated by anisonucleosis (difference in size of nucleus) (black arrow), multinucleation, hyperchromatism (red arrow) and increased mitotic figures (*).
Click the image to see the enlarged image.
















