- 7.Oral, Salivary gland
- (3)Oral mucosal diseases(★Lichen planus)
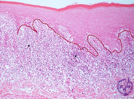
Microscopic finding (HE stain, intermediate-power view): The rete ridges are pointed with a saw-toothed appearance (red line). Inflammatory cells, composed predominantly of T lymphocytes, show a band-like distribution beneath the epidermis (*).
Click the image to see the enlarged image.
















