- 8.Esophagus, Stomach
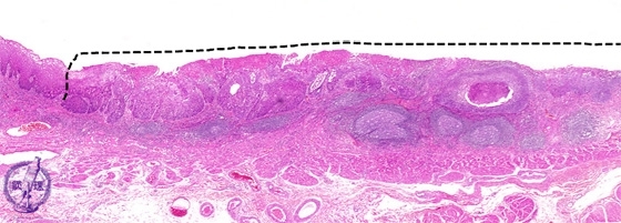
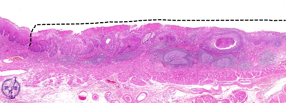
- ★(3)Esophageal carcinoma (squamous cell carcinoma)
Microscopic view (H&E stain, low power): Esophageal squamous cell carcinoma (early carcinoma). An example of intramuoscal carcinoma (dotted line).
Click the image to see the enlarged image.
















