- 8.Esophagus, Stomach
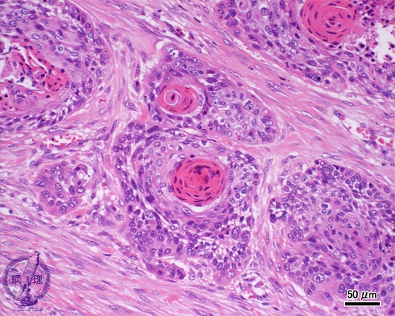
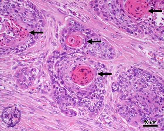
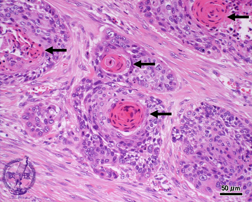
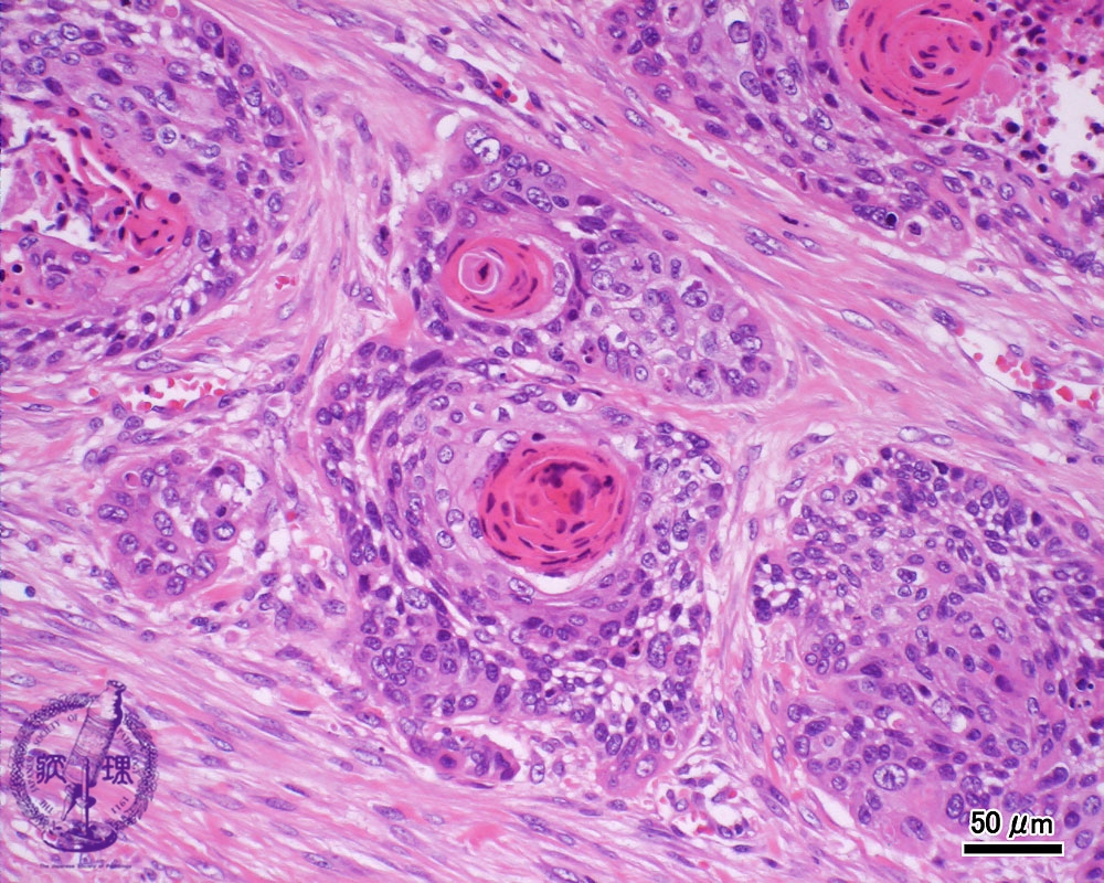
- ★(3)Esophageal carcinoma (squamous cell carcinoma)
Microscopic view (H&E stain, high power): Well differentiated squamous cell carcinoma shows keratin pearl formation (keratinization at the center of tumor nests, arrow).
Click the image to see the enlarged image.
















