- 8.Esophagus, Stomach
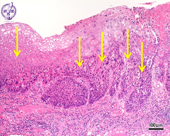
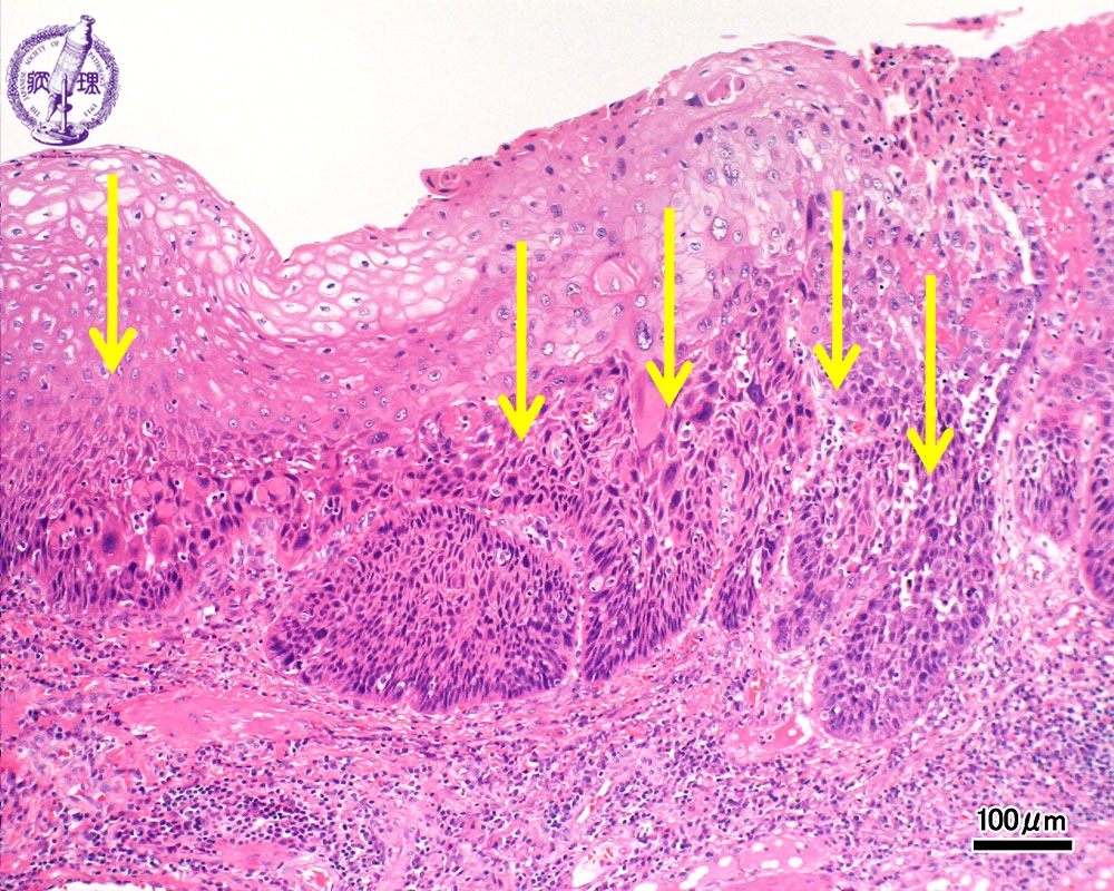
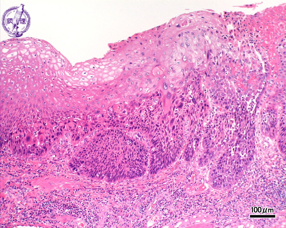
- ★(3)Esophageal carcinoma (squamous cell carcinoma)
Microscopic view (H&E stain, intermediate power): The basilar epithelium is occupied by atypical cells which show expansive invasion into the lamina propria (squamous cell carcinoma, arrow).
Click the image to see the enlarged image.
















