- 8.Esophagus, Stomach
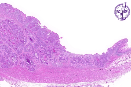
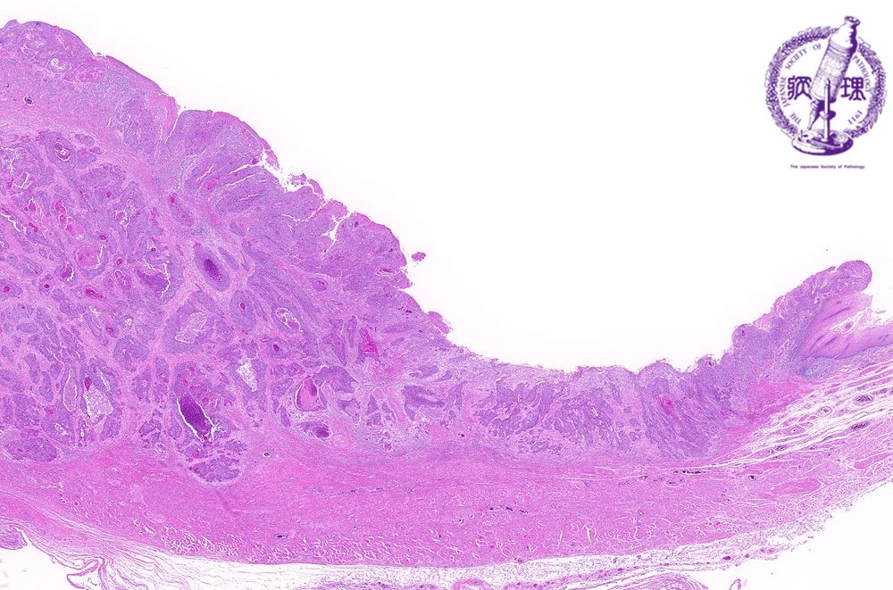
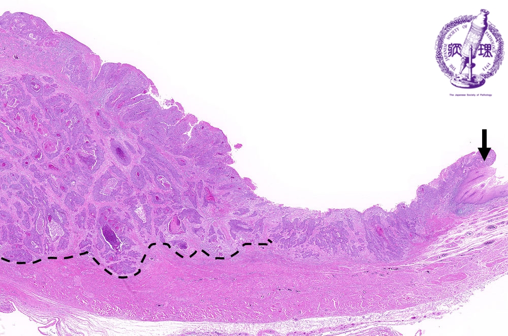
- ★(3)Esophageal carcinoma (squamous cell carcinoma)
Microscopic view (H&E stain, low power): There is squamous cell carcinoma invading into the muscularis propria (arrow: boundary between normal mucosa and carcinoma, dotted line: invasion into the muscularis propria).
Click the image to see the enlarged image.
















