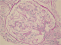
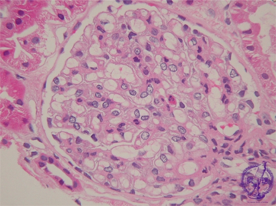
Microscopic image (HE, high power view):Although the glomerulus is somewhat swollen, there is neither mesangial cell proliferation nor basement membrane thickening.

Click the image to see the enlarged image.

  • There is no guidance by arrows.