- 12.Kidney and Urinary System
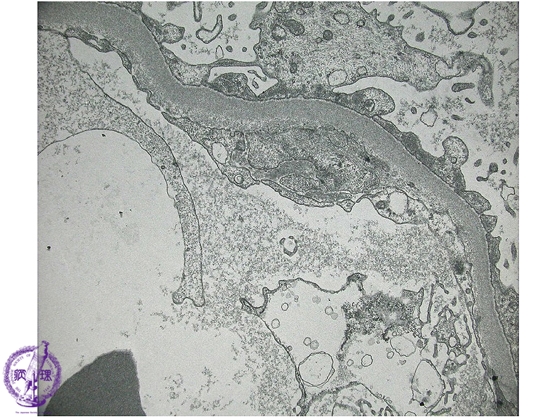
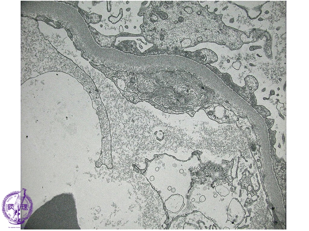
- (1)Minimal change disease
Electron microscopic findings: As the pedicles fuse, the slit membranes vanish (yellow dashed line).
Click the image to see the enlarged image.
Electron microscopic findings: As the pedicles fuse, the slit membranes vanish (yellow dashed line).
Click the image to see the enlarged image.